White Fillings
What Is A Cavity? & Why Did You Get One?
Cavities, as their name implies, are essentially holes in your teeth caused by decay. You can sometimes spot a cavity, as the area surrounding the hole generally looks dark brown or gray.
The main culprits to blame for your cavity are certain types of bacteria in your mouth. These bacteria are contained in plaque and they interact with the carbohydrates and sugars in your food creating an acidic environment that dissolves the protective enamel on the outer layer of your tooth. Once the acid succeeds in eroding the enamel, your tooth is exposed, leaving just the softer dentin layer, which will ultimately cause the formation of a cavity. At this point the decay process rapidly speeds up and spreads deeper into the tooth.
Why Do I Need A Filling?
A filling is necessary to treat your cavity because if left untreated the decay will eventually grow and will enter into your nerve canal. And yes, this can be as painful as it sounds. It can also lead to more serious problems such as infection or abscess.
A filling may also be needed to replace or repair an old worn down existing filling or to fix a chipped tooth.
In addition to potential pain and discomfort and possible tooth loss, if you wait to have your cavity filled it may end up requiring a more difficult process, such as a root canal, to save your tooth. And it could also cost you a lot more money to fix. The bottom line is you should get your cavity filled as soon as you can.
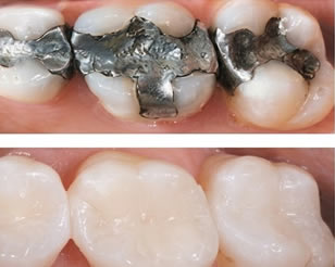
Composite Fillings
(Tooth Color Fillings)
Composite is the filling material of choice when it comes to matching your tooth color. Composite fillings consist of plastic and glass particles. They have become the most popular filling materials because they can match your existing tooth color and they also solidly bond or glue to the tooth.
After the decay in your tooth has been cleaned a cleansing gel is applied. Next a bonding solution is applied, finally followed by the composite filling material. Composite is hardened by applying a high intensity blue light. It only takes a few seconds for the materials to harden.
Once the tooth is filled and the composite has hardened, the filling is checked to insure the proper shape and look. At this point any necessary adjustments are made and then your filling is complete.
New Composite Filling Expectations
Following the filling procedure it is very common to experience some discomfort, normally at the site of the anesthetic or at the tooth itself. To alleviate the discomfort you can follow your dentist recommendation on taking an over the counter pain medication such as Advil that contains ibuprofen. If your symptoms persist then you should visit your dentist.
In some cases the decay could be quite deep and close to the nerve of the tooth. In these instances the nerve could already be infected with bacteria. Even though a filling has been placed, there is still a good chance that the tooth may need to go under root canal therapy to relieve the discomfort.
Also, composite fillings may change color over time and can sometimes chip away from the tooth.


